Streszczenie
- Definicja: W okolicy stawu skokowego mogą wystąpić różne złamania.
- Epidemiologia: Złamania stawu skokowego stanowią około 15% wszystkich urazów stawu skokowego, najczęściej dotyczą kostki bocznej.
- Objawy: Często występuje uraz skrętny. Pacjenci skarżą się na ból, obrzęk i ograniczoną funkcjonalność.
- Wyniki badania: Deformacja, obrzęk, bolesność uciskowa nad kością i krwiak. Obciążenie stopy nie jest możliwe.
- Diagnostyka: RTG stawu skokowego w 3 płaszczyznach, uzupełnione o TK w przypadku skomplikowanych złamań.
- Leczenie: W stabilnych, niepowikłanych złamaniach kostki bocznej, zwykle zachowawcza terapia gipsowa. W przypadku skomplikowanych złamań, leczenie osteosyntetyczne w ciągu 8 godzin.
Informacje ogólne
Definicja
- Informacje na temat innych urazów poza złamaniami można znaleźć w artykule ostre urazy stawu skokowego.
- Staw skokowy jest szczególnie podatny na urazy
- względna mobilność
- obciążenie całym ciężarem ciała.
- Podział złamań
- w zależności od wysokości złamania kości strzałkowej
- im bardziej proksymalne złamanie kości strzałkowej, tym większe prawdopodobieństwo urazu więzozrostu piszczelowo–strzałkowego i niestabilności stawu skokowego.
Klasyfikacja złamań stawu skokowego według Webera
- Złamania Webera typu A
- złamania kości skokowej z uszkodzeniem kości strzałkowej dystalnie do więzozrostu (bez uszkodzenia więzozrostu, szczególny przypadek pęknięcia więzadła strzałkowego).
- Złamania Webera typu B
- złamania kości skokowej z uszkodzeniem kości strzałkowej na poziomie więzozrostu (z możliwym uszkodzeniem więzozrostu).
- Złamania Webera typu C
- złamania kości skokowej z uszkodzeniem kości strzałkowej proksymalnie do więzozrostu (syndesmoza – więzozrost zawsze uszkodzona, błona międzykostna w zależności od wysokości złamania).
Epidemiologia
- 15% wszystkich urazów kostki to złamania.1
- 187 złamań na 100 000 osób rocznie.1
- Najczęstsza forma: złamanie kostki bocznej.
Anatomia kliniczna
- Staw skokowy składa się z 5 kości:
- dystalna część kości piszczelowej
- dystalna część kości strzałkowej
- kość skokowa
- kość piętowa
- kość łódkowata.
- Ruch
- górny staw skokowy (utworzony przez dystalne zakończenia kości podudzia i kość skokową)
- zgięcie podeszwowe i zgięcie grzbietowe
- dolny staw skokowy (utworzony przez kość skokową, kość piętową i kość łódkowatą)
- inwersja (boczna krawędź stopy w kierunku podłoża) i ewersja (boczna krawędź stopy uniesiona).
- górny staw skokowy (utworzony przez dystalne zakończenia kości podudzia i kość skokową)
- Bierna stabilizacja stawu skokowego
- kształt dystalnych zakończeń kości podudzia
- aparat więzadłowy
- przyśrodkowe więzadło poboczne: 4 więzadła (pasma), zwane razem więzadłem trójgraniastym
- boczne więzadło poboczne: 3 niezależne więzadła – więzadło skokowo–strzałkowe przednie, więzadło piętowo–strzałkowe i więzadło skokowo–strzałkowe tylne
- więzadło więzozrostu, które utrzymuje razem kość piszczelową i strzałkową.
- Aktywna stabilizacja stawu skokowego
- mięśnie strzałkowe po stronie bocznej
- mięsień piszczelowy przedni i piszczelowy tylny po stronie przyśrodkowej.
Etiologia i patogeneza
Mechanizm wystąpienia urazu
- Zazwyczaj uraz skrętny, rzadko bezpośredni uraz.
- Najczęstszym mechanizmem urazu jest uraz zniekształcający z nadmierną inwersją.
- Stopa jest w supinacji i jednocześnie jest obracana do wewnątrz.
- Urazy inwersyjne są znacznie częstsze niż urazy ewersyjne.
- Więzadło poboczne przyśrodkowe jest bardziej stabilne niż poboczne więzadła boczne.
- Kostka przyśrodkowa jest krótsza niż kostka boczna.
- Pozwala to kości skokowej na większą inwersję niż ewersję.
- W 1/3 przypadków uraz pod wpływem alkoholu i spowodowany śliską nawierzchnią.
- Więzadło skokowo–piszczelowe przednie jest najbardziej podatne na urazy.
- Podczas zgięcia podeszwowego jest ono najbardziej obciążone z 3 zewnętrznych więzadeł.
- Ma niższą wytrzymałość na rozciąganie niż inne więzadła boczne.
Szczególne typy złamań
- Złamanie wieloodłamowe nasady dalszej piszczeli
- złamanie dystalnej części kości piszczelowej
- występuje przy silnych obciążeniach osiowych, które wciskają kość skokową w piszczel
- przykład: upadek z dużej wysokości.
- Trójkąt Volkmanna
- przemieszony fragment kości piszczelowej w przypadku złamania tylno–bocznej krawędzi tej kości
- urazy towarzyszące w ciężkich złamaniach kostki
- gorsze rokowania.
- Złamanie Tillaux
- oderwanie przedniego fragmentu nasady dalszej kości piszczelowej.
- Złamanie Maisonneuve
- złamanie proksymalnego odcinka kości strzałkowej
- synonim: „wysokie złamanie Webera typu C”
- rozerwanie więzozrostu międzykostnego z następczą niestabilnością górnego stawu skokowego
- częste występowanie złamania kostki przyśrodkowej.
Czynniki predysponujące
ICD–10
- S82.5 Złamanie w obrębie kostki przyśrodkowej.
- S82.6 Złamanie w obrębie kostki bocznej.
Diagnostyka
Kryteria diagnostyczne
- Typowy wywiad lekarski, nieprawidłowe wyniki badania fizykalnego i potwierdzenie badaniem rentgenowskim.
- Często wypadek przy pracy
- Wdrożenie procedury związanej z wypadkiem w pracy.
Diagnostyka różnicowa
- Zniekształcenie stawu skokowego z uszkodzeniem więzadeł.
- Urazowe oderwanie (złamanie awulsyjne) fragmentu V kości śródstopia (mięsień strzałkowy krótki).
- Złamanie kości stępu.
Wywiad lekarski
- Zwykle uraz skrętny.
- Ważne są opisy dokładnego przebiegu urazu i pozycji stopy.
- Możliwe jest oszacowanie stopnia ciężkości i uszkodzonych struktur.
- Pacjenci skarżą się na ból, obrzęk i ograniczoną funkcjonalność.
Badanie fizykalne
- Możliwe oznaki złamania
- deformacja, obrzęk, bolesność uciskowa kości, krwiaki
- obciążenie stopy nie jest możliwe.
- Palpacja
- ogniskowa bolesność uciskowa kości
- szczególnie kostki przyśrodkowej lub bocznej
- tylna część kości piszczelowej (trójkąt Volkmanna)
- proksymalna część kości strzałkowej (złamanie Maisonneuve)
- w przypadku dużego obrzęku podudzia lub stopy
- obrzęknięta tkanka jest twarda i bolesna – ryzyko wystąpienia zespołu ciasnoty przedziałów powięziowych.
- ogniskowa bolesność uciskowa kości
- Ocena biernej i czynnej mobilności stawu skokowego
- zwykle niewykonalna w fazie ostrej.
- Stan układu nerwowo–naczyniowego
- porównanie z drugą kończyną
- tętno tętnicy piszczelowej tylnej i tętnicy grzbietowej stopy.
- Badanie stawu kolanowego i stopy: oznaki innych obrażeń.
Kryteria ottawskie
- Narzędzie do podejmowania decyzji
- Kiedy badanie rentgenowskie jest przydatne w przypadku urazu stawu skokowego?3
- Badanie rentgenowskie stawu skokowego
- Jeśli ból występuje w okolicy kostki ORAZ dodatkowo spełnione są następujące kryteria:
- bolesność przy ucisku dolnej części kostki przyśrodkowej i/lub bocznej
- niemożliwość obciążenia stopy ciężarem ciała.
- Jeśli ból występuje w okolicy kostki ORAZ dodatkowo spełnione są następujące kryteria:
- Badanie rentgenowskie śródstopia
- Jeśli występuje ból w środkowej części stopy oraz dodatkowo spełnione są następujące kryteria:
- bolesność uciskowa podstawy V kości śródstopia (strona boczna)
- tkliwość kości łódkowatej (strona przyśrodkowa)
- niemożliwość obciążenia stopy ciężarem ciała.
- Jeśli występuje ból w środkowej części stopy oraz dodatkowo spełnione są następujące kryteria:
- Precyzja diagnostyczna4
- Czułość prawie 100%
- znaczenie: złamania prawie nigdy nie zostają pominięte.
- Swoistość od 25 do 50%
- znaczenie: badanie RTG wykonuje się także u wielu pacjentów (50–75%) bez złamań.
- Czułość prawie 100%
Diagnostyka u specjalisty
- Obowiązkowe w przypadku podejrzenia złamania
- RTG stawu skokowego w 3 płaszczyznach: AP, 20–stopniowa rotacja wewnętrzna i zdjęcie boczne.
- W przypadku złamania proksymalnego odcinka kości strzałkowej (złamanie Maisonneuve)
- zdjęcie rentgenowskie całego podudzia w 2 płaszczyznach.
- Wskazania do tomografii komputerowej
- w przypadku wątpliwych wyników badań radiologicznych
- w celu planowania przedoperacyjnego w przypadku złożonych złamań
- w przypadku współistniejących urazów kości piszczelowej (np. wgłobienie)
- w przypadku urazów współistniejących kości skokowej (np. złamanie z wgłobieniem kości skokowej)
- w przypadku podejrzenia złamania tylnego trójkąta Volkmanna.
- Wskazania do rezonansu magnetycznego
- w celu diagnostyki złamań tylko w przypadku podejrzenia złamania przeciążeniowego lub złamania patologicznego (pierwotny nowotwór kości, przerzut)
- w przypadku podejrzenia izolowanego zerwania więzozrostu
- w celu wyjaśnienia urazów więzadłowych
- w celu oceny urazów chrząstki.
- BRAK konieczności:
- badanie USG
- artrografia.
Wskazania do skierowania do hospitalizacji
- W przypadku podejrzenia złamania.
Leczenie
Cele leczenia
- Odpowiednia repozycja i unieruchomienie, dzięki temu przywrócenie normalnego funkcjonowania.
Ogólne informacje o leczeniu
Pierwsza pomoc
- Chłodzenie, uniesienie, ucisk, odpoczynek.
- Badanie pod kątem urazów nerwów lub naczyń krwionośnych.
- Podanie środków przeciwbólowych.
- Stabilizacja miejsca złamania, w miarę możliwości unieruchomienie stawu skokowego w pozycji neutralnej.
- W przypadku klinicznie oczywistego zwichnięcia stawu skokowego natychmiastowa repozycja przez osiowe pociągnięcie kości piętowej.
- Ochrona tkanek miękkich, nerwów i naczyń krwionośnych.
- Zakrycie wszelkich otwartych złamań sterylnym opatrunkiem.
Informacje ogólne
- Leczenie złamań stawu skokowego jest zadaniem złożonym.
- Złamania Webera typu A i naderwania więzadeł kostnych mogą być leczone zachowawczo.
- Niestabilne lub przemieszczone stabilne złamania powinny zostać nastawione i ustabilizowane anatomicznie.
Leczenie zachowawcze
- Wskazania do leczenia zachowawczego:
- nieprzemieszczone lub nieznacznie przemieszczone złamanie Weber typu A
- złamania Webera typu A z nieprzemieszczonym złamaniem kostki przyśrodkowej
- nieprzemieszczone, stabilne złamania Weber typu B
- złamanie kostki przyśrodkowej bez przemieszczenia
- zaawansowany wiek pacjenta
- U starszych pacjentów (>65 lat) terapia zachowawcza stabilnych złamań stawu skokowego bez przemieszczenia jest lepsza niż leczenie chirurgiczne.5
- istniejące przeciwwskazania do zabiegu operacyjnego
- istotne zaburzenia krążenia (PAD, cukrzyca, palenie)
- podwyższone ryzyko zakażenia
- owrzodzenie podudzi, infekcja przodostopia.
- Unieruchomienie w podzielonym gipsie na podudzie/ opasce typu Cast / opatrunku stabilizującego lub szynie próżniowej do czasu ustąpienia obrzęku tkanek miękkich.
- zazwyczaj na 6 tygodni
- farmakologiczna profilaktyka przeciwzakrzepowa.
- Następnie mobilizacja w gipsie na podudzie/opasce typu Cast/bucie odciążającym na podudzie/opatrunku stabilizującym z częściowym obciążeniem lub obciążeniem funkcjonalnym dostosowanym do bólu.
- Przydatna jest wczesna fizjoterapia.
Leczenie chirurgiczne
- Cel
- anatomiczna repozycja i retencja (stabilizacja) złamań, widełek stawu i struktur więzadeł w celu osiągnięcia jak najszybszego, funkcjonalnego wyleczenia po zabiegu.
- Wskazania
- otwarte złamania
- złamania z uszkodzeniem naczyń krwionośnych lub nerwów
- niestabilne, nieodwracalne złamania
- złamania ze znacznym zamkniętym uszkodzeniem tkanek miękkich
- urazy Maisonneuve
- izolowane zerwania więzozrostu z radiologicznie potwierdzoną niewydolnością kostki
- przemieszczone złamania kostki typu B i typu C.
- Różne procedury osteosyntezy, zwykle płytki i śruby.
- Operacja w trybie nagłym w przypadku:
- otwartych złamań
- złamań z trwałym zwichnięciem lub podwichnięciem
- złamań z poważnym zamkniętym uszkodzeniem tkanek miękkich.
- Wszystkie inne operacje powinny zostać wykonane w ciągu od 6 do 8 godzin.
- Terapia początkowa nie jest możliwa (np. z powodu dużego obrzęku tkanek miękkich).
- Dwuetapowa procedura ze wstępną repozycją i unieruchomieniem w stabilizatorze zewnętrznym.
- Po konsolidacji tkanek miękkich można następnie przeprowadzić zmianę postępowania.
- Usunięcie implantu po zakończeniu gojenia kości
- Zalety: mniejszy ból, większa mobilność.8
- Śruby pozycjonujące są zwykle usuwane 6 tygodni po operacji.
- W przypadku stabilnej osteosyntezy wczesna mobilizacja zgodnie z instrukcjami chirurga.
Leczenie farmakologiczne
- W razie potrzeby profilaktyka przeciwtężcowa i profilaktyka antybiotykowa w przypadku złamań otwartych.
Inne leczenie
- Odciążające kule łokciowe.
- Samodzielne wykonywanie ćwiczeń po wcześniejszym instruktażu prowadzi do porównywalnej funkcji kostki i jakości życia jak ćwiczenia pod okiem fizjoterapeutów.9
- Pacjenci, którzy nie są w stanie samodzielnie ćwiczyć, powinni korzystać z fizjoterapii.
Rehabilitacja
- Wczesny początek
- zarówno w przypadku leczenia chirurgicznego, jak i zachowawczego.
- Połączenie różnych form rehabilitacji, m. in.:
- fizjoterapia
- instruktaż dotyczący chodzenia
- dozowany wzrost obciążenia
- leki przeciwzapalne
- w razie potrzeby wtórny zabieg chirurgiczny na implancie, kości lub tkance miękkiej
- wkładki do butów w przypadku pourazowego obniżenia wysklepienia stopy.
Przebieg, powikłania i rokowanie
Powikłania
- Martwica skóry w przypadku poważnych złamań z przemieszczeniem lub złamań ze zwichnięciem, zwykle z powodu opóźnionej repozycji.
- Martwica kości.
- Duże ryzyko zakażenia w przypadku złamań otwartych.
- Zespół ciasnoty przedziałów powięziowych.
- Niewystarczające zagojenie się złamania
- staw rzekomy, niestabilność mechaniczna, przewlekły ból i sztywność.
- Późne zakażenie z przewlekłym zapaleniem kości i szpiku.
- W przypadku osteosyntezy: defekt, obluzowanie, złamanie, infekcja implantu.
- Tendencja do przewlekłego obrzęku.
- Niespójność powierzchni stawowych
- pourazowa choroba zwyrodnieniowa stawów.
Rokowanie
- Rokowanie jest korzystne, pod warunkiem, że uraz zostanie prawidłowo zdiagnozowany i będzie odpowiednio leczony.
- Dzięki anatomicznej repozycji i osteosyntezie umożliwiającej ćwiczenia możliwy jest pełny powrót do zdrowia w zależności od stopnia ciężkości urazu.
- Gorsze rokowania
- złamanie trójkąta Volkmanna
- uszkodzenie chrząstki
- bardziej proksymalne złamanie (złamanie Weber typu C ma gorsze rokowanie niż złamanie Weber typu B, a typ B ma gorsze rokowanie niż Weber typu A).
- Intensywna rehabilitacja może przeciwdziałać późniejszym powikłaniom.
Informacje dla pacjentów
Materiały edukacyjne dla pacjentów
Ilustracje
RTG - staw skokowy, projekcja boczna: 1. Kość strzałkowa (fibula), 2. Kość piszczelowa (tibia), 3. Kość skokowa (talus), 4. Kość łódkowata (os naviculare), 5. Kość klinowata (os cuneiforme), 6. Kość piętowa (calcaneus)
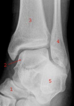
RTG - staw skokowy, projekcja skośna: 1. Kość łódkowata (os naviculare), 2. Kość skokowa (talus), 3. Kość piszczelowa (tibia), 4. Kość strzałkowa (fibula), 5. Kość piętowa (calcaneus)
Niestabilne złamanie stawu skokowego: Złamanie (1) dystalnej części kości strzałkowej z rozerwaniem więzozrostu (2), widełki kostki wyraźnie rozsunięte, kość piszczelowa (3), kość skokowa (4)
Złamanie kostki: Zdjęcie przednie i ukośne RTG lewego stawu skokowego: Złamanie skośne (1 i 2) kostki bocznej bez nieprawidłowego ustawienia; złamanie najlepiej widoczne na zdjęciu ukośnym (2)
Złamanie kostki: Zdjęcie boczne: Skośne złamanie kostki bocznej bez nieprawidłowego ustawienia (1)
Źródła
Piśmiennictwo
- Iskyan K. Ankle Fracture. Medscape, aktualizacja:26.10.2016, emedicine.medscape.com
- Spaine L.A., Bollen S.R. 'The bigger they come ...': the relationship between body mass index and severity of ankle fractures, Injury 1996, 27(10): 687-9, www.ncbi.nlm.nih.gov
- Stiell I.G., Greenberg G.H., McKnight R.D., Nair R.C., McDowell I., Worthington J.R. A study to develop clinical decision rules for the use of radiography in acute ankle injuries, Ann Emerg Med 1992, 21: 384-90, PubMed
- Bachmann L.M., Kolb E., Koller M.T., Steurer J., ter Riet G. Accuracy of Ottawa ankle rules to exclude fractures of the ankle and mid-foot: systematic review, BMJ 2003, 326: 417-24, British Medical Journal
- Salai M., Dudkiewicz I., Novikov I., et al. The epidemic of ankle fractures in the elderly is surgical treatment warranted? Arch Orthop Trauma Surg 2000, 120(9): 511-3, www.ncbi.nlm.nih.gov
- Bray T.J., Endicott M., Capra S.E. Treatment of open ankle fractures. Immediate internal fixation versus closed immobilization and delayed fixation, Clin Orthop Relat Res 1989, 240: 47-52, www.ncbi.nlm.nih.gov
- Høiness P., Strømsøe K. The influence of the timing of surgery on soft tissue complications and hospital stay. A review of 84 closed ankle fractures, Ann Chir Gynaecol 2000, 89(1): 6-9, www.ncbi.nlm.nih.gov
- Jacobsen S., Honnens de Lichtenberg M., Jensen C.M., et al. Removal of internal fixation the effect on patients' complaints: a study of 66 cases of removal of internal fixation after malleolar fractures, Foot Ankle Int 1994, 15(4): 170-1, www.ncbi.nlm.nih.gov
- Moseley A., Beckenkamp P.R., Haas M., et al. Rehabilitation after immobilization for ankle fracture. The EXACT randomized clinical trial, JAMA 2015, 314: 1376-85, doi:10.1001/jama.2015.12180, DOI
Opracowanie
- Honorata Błaszczyk (recenzent)
- Tomasz Tomasik (redaktor)
- Lino Witte (recenzent/redaktor)
