Trypanosomiasis (afrikanische Schlafkrankheit)

Zusammenfassung

  • Definition:Afrikanische Schlafkrankheit, verursacht durch den Parasiten Trypanosoma brucei, der durch die Tsetse-Fliege übertragen wird.
  • Häufigkeit:Die Inzidenz nimmt ab, sie betrug im Jahr 2011 in Afrika ca. 7.000 Fälle pro Jahr. 2014 wurden ca. 4.000 Fälle gemeldet.
  • Symptome: Lokalreaktion an der Einstichstelle. Malaria-ähnliche Symptome mit hohem Fieber, Gelenkschmerzen und Juckreiz später Anämie, Herz- und Nierenerkrankungen
  • Befunde:Wenn der Parasit das zentrale Nervensystem angreift: Müdigkeit, Apathie, Persönlichkeitsveränderungen, andere neurologische Symptome und schließlich Koma.
  • Diagnose:Agens-Nachweis per Mikroskopie von Blut, Lymphknotenbiopsat oder Liquor
  • Behandlung:Wird je nach Stadium mit verschiedenen Antiparasitika behandelt.

Allgemeine Informationen

Definition

  • Die afrikanische Trypanosomiasis (= afrikanische Schlafkrankheit – umgangssprachlich „Schlafkrankheit“) und die amerikanische Chagas-Krankheit werden beide durch Trypanosomen verursacht.
  • Die Schlafkrankheit wird durch den über die Tsetse-Fliege übertragenen Parasiten Trypanosoma brucei verursacht.
  • Unbehandelt verläuft die Schlafkrankheit in fast 100 % der Fälle tödlich.1 Beginnt man frühzeitig mit der Behandlung, kann die Krankheit  jedoch geheilt werden.
  • Weisen Touristen, die endemische Gebiete Afrikas, insbesondere die Nationalparks in Ostafrika, besucht haben, bei der Rückkehr Fieber auf, sollte man nicht nur an Malaria, sondern auch an die afrikanische Schlafkrankheit denken.

Häufigkeit

  • Die afrikanische Schlafkrankheit tritt endemisch nur in Afrika auf und wird von den Parasiten Trypanosoma brucei gambiense (West- und Zentralafrika) und T. brucei rhodesiense (Ost- und Südafrika) verursacht.2 Ca. 60 Mio. Menschen in diesen Gebieten sind dem Risiko einer Infektion ausgesetzt.
  • Die Inzidenz wird in Afrika betrug 7.000 Erkrankungen im Jahr 2011, sie nahm in den letzten Jahren deutlich ab. 2014 wurden der WHO 3.796 Fälle gemeldet.3 In den 1990er-Jahren war die Inzidenz erheblich angestiegen.2,4
  • Nach erfolgreicher Bekämpfung in den vergangenen Jahrzehnten kann die Schlafkrankheit durch Bürgerkriege, Flüchtlingsströme und mangelnde Gegenmaßnahmen wieder zunehmen, die WHO rechnet mit einem weiteren Anstieg.
  • Ca. 95 % der Fälle wurden durch Trypanosoma brucei gambiense verursacht. 
  • Trypanosoma brucei gambiense dominiert in den westlichen und zentralen Teilen Afrikas, T. brucei rhodesiense in den östlichen und südlichen Teilen.2
  • Die Krankheit kommt bei Europäern kaum vor, Touristen infizieren sich nur selten.

Ätiologie und Pathogenese

  • Die Krankheit wird durch den Parasiten Trypanosoma brucei verursacht.
  • Zwei Arten dieses Parasiten infizieren den Menschen.
    • Trypanosoma brucei gambiense
    • Trypanosoma brucei rhodesiense
  • Die Erkrankung wird durch den Stich der Tsetse-Fliege übertragen, einer blutsaugenden Fliege.
    • Die Trypanosomen durchlaufen eine lange Migration und Reifung in der Fliege, weniger als 10 % der Tsetse-Fliegen tragen einen aktiven Erreger in sich.
  • Wenn es mehrere Tage nach dem Stich zu zunehmenden Schwellungen und ggf. einem primären Schanker an der Injektionsstelle, Fieber und Lymphknotenschwellung kommt, sollte an diese Erkrankung gedacht werden.
  • Die hohe Antigenvarianz des Erregers führt zu einer Überstimulation des Immunsystems mit den Folgen verschiedenster Organschädigungen durch Antigen-Antikörper-Komplexe oder einer Schwächung des Abwehrsystems. 

Übertragung

  • Die afrikanische Schlafkrankheit wird durch Trypanosoma brucei gambiensis und Trypanosoma brucei rhodesiensis verursacht und durch den Stich der Tsetse-Fliege übertragen. Auch eine Übertragung über Kratzwunden oder die Schleimhäute des Auges ist möglich. 
  • Trypanosoma gambiense kann durch den Stich der Tsetse-Fliege von Mensch zu Mensch übertragen werden, während Trypanosoma rhodesiense eine reine Zoonose ist.
  • Tsetse-Fliege (Glossina)
    • Sie ist doppelt so groß wie die Stubenfliege und ähnelt einer „Bremse“ oder großen „Rinderbremse“. Sie greift in großen Schwärmen an und verursacht schmerzhafte Stiche.
    • Sie sticht hauptsächlich tagsüber im Freien. 
    • Es gibt 23 Arten der Tsetse-Fliege, doch von diesen übertragen nur wenige Arten die Krankheit auf den Menschen.
    • Tsetse-Fliegen der Glossina palpalis-Gruppe übertragen T. brucei gambiensis, sie sind in West- und Zentralafrika hauptsächlich entlang von Flussläufen verbreitet und saugen meist an Menschen, seltener an Tieren (Rinder, Ziegen, Schafe, Schweine, Antilopen u. a.), Hauptreservoir der Erreger ist der Mensch.
    • Tsetse-Fliegen der zoophilen Glossina-morsitans-Gruppe, treten in den trockenen Savannen Afrikas auf und übertragen T. brucei rhodesiensis. Bei Rindern verläuft die Infektion tödlich, andere Nutz- und Wildtiere (Antilopen) sind asymptomatische Träger, der Mensch ist nur selten betroffen.    
  • Trypanosomen
    • Trypanosomen sind Hämatoprotozoen, die sich durch einfache Längsteilung alle acht Stunden fortpflanzen.
    • Trypanosoma brucei gambiense und Trypanosoma brucei rhodesiense können morphologisch nicht voneinander unterschieden werden.
    • Sie weisen einen komplexen Lebenszyklus auf, sind artspezifisch und infizieren nur bestimmte Säugetiere.
    • Sowohl Trypanosoma brucei gambiense als auch Trypanosoma brucei rhodesiense nutzen verschiedene Antilopenarten als Wirt, T. brucei gambiense zusätzlich auch Rinder und Schweine.
  • Eine Übertragung der Schlafkrankheit ist auch konnatal, über Bluttransfusionen oder Transplantationen möglich. 

Prädisponierende Faktoren

  • Aufenthalt in endemischen Gebieten Afrikas, v. a. die Nationalparks in Ostafrika
  • In Endemiegebieten sind besonders die Landbevölkerung, Farmer, Jäger, u. U. auch Mitarbeiter von Hilfsorganisationen, weniger die Touristen, gefährdet. 

ICD-10

  • B56 Afrikanische Trypanosomiasis
    • B56.0 Trypanosomiasis gambiensis
    • B56.1 Trypanosomiasis rhodensiensis
    • B56.9 Afrikanische Trypanosomiasis, nicht näher bezeichnet

Diagnostik

Diagnostische Kriterien

  • Aufenthalt in Risikogebieten
  • Anamnese, die auf die Erkrankung hinweist
  • Mikroskopischer Nachweis des Parasiten

Differenzialdiagnosen

Anamnese

  • Inkubationszeit
    • westafrikanische Form: Wochen bis Jahre
    • ostafrikanische Form: 3–21 Tage
  • Die Erkrankung verläuft in zwei Stadien:
    1. hämolytisches Stadium
    2. Meningoenzephalitis-Stadium mit typischen Schlafstörungen und schließlich Koma und Tod.
  • In Stadium 1: Malaria-ähnliche Symptome mit hohem Fieber, Gelenkschmerzen und Juckreiz später Entwicklung einer Anämie und Herz- und Nierenerkrankungen; evtl. stammbetontes, juckendes, annuläres Exanthem
  • Wenn der Parasit das zentrale Nervensystem angreift (Stadium 2): Müdigkeit, Schlafstörungen, Apathie und schließlich Koma.
  • Der Stich der Tsetse-Fliege ist schmerzhaft und kann eine lokale Schwellung und einen mehrere Tage andauernden Juckreiz verursachen.
  • Kommt es zu einer Infektion mit Trypanosomen, kann die Einstichstelle einige Tage lang geschwollen und mit Schmerzen, Rötung und einem lokalen Wärmegefühl verbunden sein.

Trypanosomiasis rhodesiense

  • An der Einstichstelle bildet sich eine Primärläsion, sog. „Trypanosomenschanker“, die einem beginnenden Abszess ähnelt und zwei bis drei Wochen bestehen kann.
    • Bei Touristen kommt die Entwicklung des Schankers häufig vor, meist entwickelt sich hohes Fieber (40‒41 °C).
    • Häufig ist es schwierig, eine klinische Diagnose zu stellen.
  • Gleichzeitig entwickelt sich eine Lymphknotenschwellung in der Nähe der Einstichstelle.
  • Nach einer Zeit von ein bis drei Wochen führt die Ausbreitung von Trypanosomen aus der Haut ins Blut zu Fieber, Mattigkeit, Kopfschmerzen, Muskel- und Gelenkschmerzen, Juckreiz, Hyperästhesie (Kerandel-Zeichen) und Gewichtsverlust.
  • Die Allgemeinsymptome können jedoch bereits auch wenige Stunden nach der Entwicklung eines Schankers auftreten.
  • Gesichtsödeme, Anämie, moderate Vergrößerung von Leber und Milz sind möglich, außerdem Myokarditis und Nephritis.
  • Zunächst werden meist die inneren Organe befallen, dann das zentrale Nervensystem.
  • Eine Enzephalomyelitis kann zu einem veränderten Schlafverhalten, neurologischen Ausfällen und schließlich zum Koma führen.
  • Der Tod kann während der akuten Phase nach nur wenigen Wochen bis Monaten eintreten.

Trypanosomiasis gambiense

  • In dieser Form ist keine Entwicklung eines Schankers festzustellen, der Verlauf ist milder und meist chronisch.
  • Die Symptome während der frühen Phase ähneln einer milderen Rhodesiense-Form. 
  • Es kommt zu Episoden mit leichtem Fieber sowie einer Lymphadenopathie, vor allem lokalisiert im Nacken, außerdem Splenomegalie.
  • Trypanosomiasis gambiense zeichnet sich durch eine schwerere chronische Infiltration des Zentralnervensystems aus.
  • Die häufigsten Symptome sind Kopfschmerzen, Veränderungen der Persönlichkeit und ein veränderter Schlafrhythmus.
  • Psychotische Reaktionen sind nicht ungewöhnlich.
  • Häufig entwickeln sich extrapyramidale Symptome wie Gangunsicherheit, Maskengesicht, Zittern sowie choreatische Bewegungen von Gliedmaßen und Zunge.
  • In dieser Phase isolieren sich die Patienten häufig, schlafen tagsüber und essen nicht.
  • Bei dieser Form sterben die Patienten oft an Kachexie, Sekundärinfektionen, Pneumonie oder während eines epileptischen Anfalls.

Klinische Untersuchung

Trypanosomiasis rhodesiense

  • Der Befund hängt davon ab, in welchem Stadium sich die Krankheit befindet.
  • Primärläsion (Trypanosomenschanker), der einem beginnenden Abszess ähnelt, findet sich bei einem Teil der Patienten (20 %).
  • Regelmäßig wiederkehrendes Fieber und ein eingeschränkter Allgemeinzustand sind die typischen Symptome.
  • Gesichtsödeme, Anämie, moderate Vergrößerung von Leber und Milz sind möglich, außerdem Myokarditis und Nephritis.
  • Bei einer Enzephalomyelitis kann sich das Schlafmuster verändern, außerdem kann es zu neurologischen Ausfällen und schließlich zum Koma kommen.

Trypanosomiasis gambiense

  • Der Befund hängt davon ab, in welchem Stadium sich die Krankheit befindet.
  • evtl. leichtes Fieber, Lymphadenopathie, vor allem im Nacken lokalisiert, und Splenomegalie
  • Ggf. Enzephalomyelitis mit Persönlichkeitsveränderungen, evtl. psychotischen Reaktionen, extrapyramidalen Symptomen

Ergänzende Untersuchungen

  • Mikroskopie
    • im Stadium 1 aus dem Blut (dicker Tropfen, Färbung, Konzentrationsverfahren) oder Lymphknotenpunktat (bei T. gambiense), im Stadium 2 aus dem Liquor
    • Der Goldstandard in der Diagnostik ist die Mikroskopie des Dicken Tropfens nach Giemsa-Färbung, in denen Trypanosomen leicht zu erkennen sind.
  • Blutbild
    • Wie bei Malaria lassen sich eine Anämie, Leukopenie und Thrombozytopenie feststellen.
  • Eine serologische Untersuchung ist sinnvoll.
    • Der Nachweis spezifischer Antikörper ist mittels ELISA oder IFT möglich, die Antikörper werden erst Wochen nach der Infektion gebildet, hohe Titer bleiben lange bestehen.
    • Häufig finden sich sehr hohe Konzentrationen an IgM in Serum und Liquor.
    • Bei einem negativen Befund und klinischem Verdacht sollte man den Test mehrmals wiederholen.
    • In endemischen Gebieten wird der Schnelltest CATT (Card Agglutination Trypanosomiasis Test) zum Screening auf eine Infektion mit Trypanosomiasis gambiense eingesetzt.
  • In Krankenhäusern, die auf tropische Krankheiten spezialisiert sind, werden sensitivere Verfahren und/oder Kulturen verwendet. In Speziallaboratorien ist eine PCR möglich. 

Diagnostik beim Spezialisten

  • Liquorpunktion
    • Um einen Befall des Zentralnervensystems auszuschließen.
    • Selbst geringgradig pathologische Befunde im Liquor wie z. B. eine erhöhte Proteinkonzentration und eine erhöhte Zellzahl sind Alarmsignale.

Indikationen zur Überweisung

  • Bei Verdacht auf die Diagnose
  • Da die afrikanische Trypanosomiasis eine schwierige Diagnose ist und die Behandlung mit Medikamenten erfolgt, die relativ viele Nebenwirkungen haben, sollten Diagnostik, Behandlung und Überwachung dieser Patienten in spezialisierten Kliniken zentralisiert werden.

Therapie

Therapieziel

  • Heilung

Allgemeines zur Therapie

  • Behandlung durch den Spezialisten
    • Patienten mit der afrikanischen Schlafkrankheit sollten von Fachärzten behandelt werden, die auf die Erkrankung spezialisiert sind.
  • Die Behandlungsregimes bei Trypanosomiasis gambiens und Trypanosomiasis rhodesiense unterscheiden sich. Das jeweilige Regime hängt davon ab, in welchem Stadium sich die Infektion befindet.
  • Alle bei der Behandlung von afrikanischer Trypanosomiasis verwendeten Medikamente sind relativ toxisch.

Empfehlungen für Patienten

  • Präventionsmaßnahmen wie:
    • Vermeidung einer Exposition
    • Insektenschutzmittel
    • Helle und den Körper vollständig bedeckende Kleidung ist von Vorteil, denn die Tsetse-Fliege wird von dunklen Farben angezogen.

Medikamentöse Therapie

  • Frühe T.-b.-gambiense-Infektion (Stadium 1)
    • Empfohlen wird eher Pentamidin als Suramin.
  • Späte T.-b.-gambiense-Infektion (Stadium 2)
    • Empfohlen wird Eflornithin, entweder allein oder in Kombination mit Nifurtimox.
  • Frühe T.-b.-rhodesiense-Infektion (Stadium 1)
    • Suramin
  • Späte T.-b.-rhodesiense-Infektion (Stadium 2)
    • Melarsoprol3,5
  • Hinweis!
    • Vor der Behandlung mit Suramin oder Pentamidin sollte immer der Liquor untersucht werden, um einen Befall des Zentralnervensystems auszuschließen.
    • Bei einer Infektion des Zentralnervensystems kann sich eine Enzephalomyelitis unter Therapie entwickeln, während die akuten Allgemeinsymptome durch die Suramintherapie verschwinden.

Bei Verdacht auf einen Befall des Zentralnervensystems

  • Melarsoprol, ein toxisches Arsenpräparat, galt in den letzten 50 Jahren als Erstlinientherapie.
    • 5‒10 % der Patienten, die mit Melarsoprol behandelt werden, sterben an einer Arzneimittel-bedingten Enzephalopathie. 
  • Eine Kombitherapie aus Nifurtimox peroral und Eflornithin-Infusion hat sich als mindest ebenso wirksam wie die Standardtherapie mit Eflornithin erwiesen.6
    • Bei der Kombitherapie wird Eflornithin über sieben Tage verabreicht. Die Standardtherapie dauert 14 Tage.
    • Die Heilungsrate im zweiten Krankheitsstadium beträgt etwa 97 %.
  • Fexinidazol wird derzeit einer Phase-II/III-Testung unterzogen. 
  • Derzeitige Empfehlungen:
    • Enzephalomyelitis durch Trypanosoma brucei gambiense:
      • Melarsoprol 2,2 mg/kgKG/Tag i. v. über 10 Tage oder
      • Eflornithin 4 × 100 mg/kgKG/Tag i. v. über 14 Tage.
    • Enzephalomyelitis durch Trypanosoma brucei rhodesiense:
      • Melarsoprol Tag 1: 1,2 mg/kgKG; Tag 2: 2,4 mg/kgKG; Tag 3 und 4: 3,6 mg/kgKG intravenös, 2-mal im Abstand von jeweils 7 Tagen wiederholen.  

Prävention

  • Der einzige wirksame Schutz ist die Vermeidung von Stichen der Tsetse-Fliege.
  • Vorbeugende Maßnahmen sollten auf dem Wissen um die ökologischen Bedingungen für Vektor (Tsetse-Fliegen) und Agens (Trypanosomen) basieren.
  • Es gibt keinen Impfstoff.
  • Weitere präventive Maßnahmen:
    • Vektorbekämpfung in Infektionsgebieten (Insektizide, Tsetse-Fallen, biologische Bekämpfung)
    • Sanierung infizierter Haustiere
    • Aufklärung

Tsetse-Fliege

  • Hält sich in der Regel in dichtem Gebüsch auf (meist Akazien), wo sie Schatten sucht.
  • Sie verlässt das Dickicht in Schwärmen und verfolgt bewegliche Ziele wie Büffel, Antilopen, aber auch Autos.
    • Es ist daher wichtig, die Autofenster zu schließen, wenn man in diesen Gebieten mit dem Auto fährt.
  • Insektizide wirken kaum.
  • Die Tsetse-Fliege kann leicht durch dünne Kleidung stechen.
  • Sie liebt dunkle Farben, vor allem blau.
    • Es ist daher von Vorteil, sich in hellen Farben zu kleiden, vorzugsweise mit einem khakifarbenen Stoff einer gewissen Stärke.
    • Die Tatsache, dass Tsetse-Fliegen von blauer Farbe angezogen werden, wird bei der Bekämpfung des Vektors mit Fallen aus blau-schwarzen Tüchern genutzt, die in einen Rahmen einen halben Meter über dem Boden gespannt und mit DDT oder einem anderen Insektizid imprägniert werden.

Verlauf, Komplikationen und Prognose

Verlauf

  • Unbehandelt verläuft die afrikanische Schlafkrankheit in fast 100 % der Fälle tödlich. Beginnt man jedoch frühzeitig mit der Behandlung, kann die Krankheit geheilt werden.
  • Trypanosomiasis rhodesiensis verläuft unbehandelt in der Regel akut, der Tod tritt innerhalb von Wochen oder Monaten ein.
  • Die Trypanosomiasis gambiensis verläuft chronisch fortschreitend, mit einer geschätzten durchschnittlichen Dauer bis zum Tod von ca. drei Jahren.2

Komplikationen

Prognose

  • Eine Heilung ist bei frühzeitiger Behandlung möglich.
  • Ist das Zentralnervensystem befallen, ist die Prognose schlechter.

Patienteninformationen

Worüber sollten Sie die Patienten informieren?

  • Wenn sie Fieber nach der Rückkehr aus den Tropen entwickeln, ist es wichtig, einen Arzt zu konsultieren.
  • Ärzte sollten nicht nur an Malaria denken, sondern auch andere Tropenkrankheiten in Erwägung ziehen, die Fieber verursachen.
  • Vor allem bei Aufenthalten in den Nationalparks im Norden von Tansania sollte man auch an die Schlafkrankheit denken.
  • Eine verzögerte Behandlung kann, vor allem im Falle einer Infektion mit Trypanosomiasis brucei rhodesiense, schnell zu einer schweren Meningoenzephalitis führen.
  • Die Patienten sollten in Krankenhäusern, die über eine Spezialisierung in diesem Fachgebiet aufweisen, behandelt werden.
  • Die afrikanische Schlafkrankheit gilt heutzutage nicht mehr als seltene Krankheit bei Touristen in den Nationalparks in Tansania.
  • Reisebüros, die die Nationalparks vor allem in Ostafrika als Reiseziel anbieten, sollten Touristen über das Risiko einer Infektion mit der afrikanischen Schlafkrankheit informieren.

Patienteninformationen in Deximed

Illustrationen

Lebenszyklus der Trypanosoma brucei:  Zwei Varianten dieser Parasiten befallen den Menschen. Trypanosoma brucei rhodesiense (ostafrikanische Schlafkrankheit) und Trypanosoma brucei gambiense (westafrikanische Schlafkrankheit)
Lebenszyklus der Trypanosoma brucei: Zwei Varianten dieser Parasiten befallen den Menschen. Trypanosoma brucei rhodesiense (ostafrikanische Schlafkrankheit) und Trypanosoma brucei gambiense (westafrikanische Schlafkrankheit).
Blutausstrich (dünner Tropfen) mit Giemsa-Färbung, in dem die Trypanosomen zu sehen sind. Foto mit freundlicher Genehmigung von CDC (PHIL).
Blutausstrich (dünner Tropfen) mit Giemsa-Färbung, in dem die Trypanosomen zu sehen sind. Foto mit freundlicher Genehmigung von CDC (PHIL).
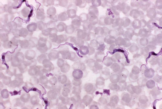
Trypanosomiasis brucei gambiense im Blutausstrich (dünner Tropfen) mit Giemsa-Färbung. Foto mit freundlicher Genehmigung von CDC (PHIL).
Trypanosomiasis brucei gambiense im Blutausstrich (dünner Tropfen) mit Giemsa-Färbung. Foto mit freundlicher Genehmigung von CDC (PHIL).

Quellen

Literatur

  1. Kennedy PG. The continuing problem of human African trypanosomiasis (sleeping sickness). Ann Neurol 2008; 64:116. PubMed
  2. Brun R, Blum J, Chappuis F, Burri C. Human African trypanosomiasis. Lancet 2010; 375: 148-59. PubMed
  3. World Health Organization. Trypanosomiasis, human African (sleeping sickness). Fact Sheet. February 2016. www.who.int
  4. Abergavenny RD. Sleeping sickness reemerges in Africa after years of civil war. BMJ 2001; 322: 1382. PubMed
  5. Krishna S, Stich A. Clinical manifestations, diagnosis, and treatment of African trypanosomiasis. UpToDate, last updated Dec 09, 2014. UpToDate
  6. Priotto G, Kasparian S, Mutumbo W, et al. Nifurtimox-eflornithine combination therapy for second-stage African Trypanosoma brucei gambiense trypanosomiasis: a multicentre, randomised, phase III, non-inferiority trial. Lancet 2009; 374: 56-64. PubMed
  7. Barrett MP, Burchmore RJS, Stich A, et al. The trypanosomiases. Lancet 2003; 362: 1469-80. PubMed

Autoren

  • Birgit Wengenmayer, Dr. med., Fachärztin für Allgemeinmedizin, Freiburg

Link lists

Authors

Previous authors

Updates

Gallery

Snomed

Click to edit