Informacje ogólne
Definicja
- Wewnętrzna powierzchnia ściany klatki piersiowej i powierzchnia płuc są pokryte odpowiednio opłucną ścienną i trzewną.
- Pomiędzy nimi znajduje się przestrzeń opłucnowa, która fizjologicznie zawiera tylko około 0,1 ml płynu na kilogram masy ciała i panuje w niej podciśnienie.
- Jeśli utworzy się wysięk, płyn opłucnowy może składać się z:
- płynu surowiczego (płyn w jamie opłucnej)
- krwi (krwiak opłucnej)
- płynu limfatycznego (chylothorax) lub
- ropy (ropniak opłucnej)
- Ponadto płyn można podzielić na przesięk i wysięk w zależności od zawartości białka.
- Płyn, który dostaje się do jamy opłucnej na skutek wysokiego ciśnienia kapilarnego i hydrostatycznego lub obniżonego ciśnienia kapilarno-onkotycznego, nazywany jest przesiękiem.1
- Całkowita zawartość białka nie przekracza 30 g/l, a ciężar właściwy jest niższy niż 1,016.
- Zwykle występuje obustronnie, ponieważ jest to zaburzenie ogólnoustrojowe.
- Procesy zapalne i złośliwe mogą prowadzić do zwiększonej przepuszczalności naczyń włosowatych i opłucnej, a także zatorów limfatycznych.1
- Wynikające z tego nagromadzenie płynu to wysięk.
- Całkowita zawartość białka przekracza 30 g/l, a ciężar właściwy przekracza 1,016.
- Poprzez punkcję wysięku można również oznaczyć stosunek białka całkowitego w wysięku i surowicy, stosunek LDH w wysięku i surowicy, amylazę i lipazę, wartości trójglicerydów i inne parametry.
Częstość występowania
- Ze względu na różnorodność możliwych przyczyn, objaw ten występuje stosunkowo często.
- Najczęstsze przyczyny to niewydolność serca, zatorowość płucna, marskość wątroby, zapalenie płuc, nowotwory złośliwe i gruźlica.
Etiologia
- Zmieniona przepuszczalność błon opłucnowych w stanach zapalnych, w przypadku nowotworów i zatorowości płucnej
- Zmniejszone wewnątrznaczyniowe ciśnienie osmotyczne w hipoalbuminemii, marskości wątroby
- Zwiększona przepuszczalność naczyń włosowatych lub uszkodzenie naczyń w przypadku urazu, nowotworu, zapalenia, zakażenia, zawału płuca, nadwrażliwości na leki, mocznicy, zapalenia trzustki
- Zwiększone kapilarne ciśnienie hydrostatyczne w krążeniu ogólnoustrojowym lub płucnym w niewydolności serca, zespole żyły głównej górnej
- Zmniejszone ciśnienie w jamie opłucnej w nasilonej niedodmie, międzybłoniaku
- Zmniejszony drenaż limfatyczny w chorobach nowotworowych, urazach
- Zwiększona ilość płynu w jamie otrzewnej z przechodzeniem przez przeponę w przypadku marskości wątroby, dializy otrzewnowej
- Utrzymujące się podwyższone ciśnienie osmotyczne w płynie opłucnowym wywołane nagromadzeniem płynu prowadzi do dalszego gromadzenia się płynu.
- Przyczyny farmakologiczne (np. amiodaron, beta-blokery, alkaloidy sporyszu, L-tryptofan, metotreksat, nitrofurantoina, fenytoina)
- Przyczyny jatrogenne
- Najczęstsze przyczyny to niewydolność serca, zapalenie płuc, choroby nowotworowe lub zatorowość płucna
- Ważne jest rozróżnienie przyczyn płucnych od sercowo-naczyniowych i innych.1
- Wiele wysięków opłucnowych ma charakter idiopatyczny. Zazwyczaj mają one korzystne rokowanie.1
ICD-10
- J90 Wysięk opłucnowy niesklasyfikowany gdzie indziej
- J91 Wysięk opłucnowy w przebiegu chorób sklasyfikowanych gdzie indziej
- R09.1 Zapalenie opłucnej
- A15 Gruźlica układu oddechowego, potwierdzona bakteriologicznie i histologicznie
- A16 Gruźlica układu oddechowego, niepotwierdzona bakteriologicznie lub histologicznie
Diagnostyka różnicowa
Obrzęk płuc
- Zobacz artykuł Obrzęk płuc.
- Przyczyny kardiologiczne (częstsze) i niekardiologiczne
- Ostry obrzęk płuc pochodzenia sercowego często występuje w połączeniu z ostrym zawałem mięśnia sercowego.
- Typową przyczyną zastoinowego przesięku w przypadku obrzęku płuc jest zdekompensowana niewydolność lewokomorowa, często w połączeniu z ostrym zawałem mięśnia sercowego.
- Duszność w spoczynku, kaszel, pienista wydzielina, lęk
- Tachypnoe (przyśpieszony oddech), stosowanie dodatkowych mięśni oddechowych, świszczący oddech
- Osłuchowo grubobańkowe rzężenia, ewentualnie szmery typowe dla zmian w sercu
- Ciśnienie tętnicze może być prawidłowe/podwyższone, ale także obniżone aż po wstrząs.
- RTG klatki piersiowej, echokardiografia, pulsoksymetria, badania laboratoryjne (gazometria, troponina sercowa, BNP), w razie potrzeby cewnikowanie serca (koronarografia)
Przewlekła niewydolność serca
- Zobacz artykuł Przewlekła niewydolność serca.
- Częstymi przyczynami są nadciśnienie tętnicze, wady zastawek, choroba wieńcowa, kardiomiopatie, zapalenie mięśnia sercowego, zaburzenia płucne i niedokrwistość.
- Głównymi objawami są duszność wysiłkowa i zmniejszona wydolność.
- Poszerzenie żył szyjnych, obrzęk kończyn dolnych, kaszel, nykturia, nocne napady duszności, kołatania serca mogą wskazywać na niewydolność serca.
- Uzupełniającymi metodami diagnostycznymi są badania laboratoryjne (BNP, morfologia krwi, CRP), RTG klatki piersiowej, echo serca i EKG.
- Leczenie choroby podstawowej
Zapalenie płuc
- Zobacz artykuł Zapalenie płuc.
- Współistniejący wysięk opłucnowy rozpoznaje się u 20–50% pacjentów z pozaszpitalnym zapaleniem płuc w chwili rozpoznania lub w przebiegu choroby.
- W przypadku części tych chorób rozwija się wówczas zakażenie opłucnej spowodowane przez bakterie, mogące przekształcić się nawet w ropne zapalenie opłucnej (ropniak opłucnej).
- Czynnikami ryzyka tego powikłania są cukrzyca, ogólnoustrojowa terapia glikokortykosteroidami, refluks żołądkowo-przełykowy i nadużywanie alkoholu lub narkotyków dożylnych.
- Kaszel produktywny z żółtozieloną lub rdzawobrązową wydzieliną, gorączka, pogorszenie stanu ogólnego, duszność, ewentualnie pleurodynia
- Dodatkowe szmery oddechowe, głównie suche rzężenia
- Diagnozę stawia się na podstawie badania RTG klatki piersiowej.
- Ropniak opłucnej może rozwinąć się jako następstwo zapalenia płuc i zwykle wymaga leczenia chirurgicznego.
- Wszyscy pacjenci powinni być monitorowani pod kątem powikłań związanych z zapaleniem płuc, zwłaszcza powikłanego wysięku opłucnowego, ropniaka opłucnej i ropnia płuca.
- Jeśli pacjent zgłasza ból opłucnowy, brak poprawy stanu ogólnego, narastającą duszność lub utrzymującą się podwyższoną temperaturę, należy wykluczyć rozwój powikłanego wysięku opłucnowego lub ropniaka opłucnej.
Gruźlica
- Zobacz artykuł Gruźlica.
- Najczęstsza przyczyna wysięku opłucnowego u pacjentów w wieku do 40. roku życia
- Diagnozę stawia się na podstawie zdjęcia rentgenowskiego klatki piersiowej, poprzez wykrycie obecności patogenu w plwocinie w badaniach mikroskopowych, posiewie i badaniu PCR.
- Klasyczna gruźlica płuc objawia się kaszlem utrzymującym się ponad 3 tygodnie, stopniowym pojawieniem się wydzieliny, utratą masy ciała i pogorszeniem stanu ogólnego, gorączką i nocnymi potami.
- Choroba występuje powszechnie na całym świecie. Ubóstwo i zakażenie HIV stanowią ważne czynniki wciąż wysokiej zapadalności.
Przerzuty w obszarze opłucnej/wysięk opłucnowy o charakterze złośliwym
- Wysięk opłucnowy o charakterze złośliwym jest częstym powikłaniem raka płuc.
- Niemal wszystkie guzy złośliwe w zaawansowanym stadium mogą obejmować opłucną, powodując przerzuty z towarzyszącym wysiękiem opłucnowym.
- Obecność komórek rakowych w opłucnej jest wynikiem rozsiania guzów zlokalizowanych w klatce piersiowej (np. rak płuc, rak piersi) lub poza klatką piersiową (np. rak jajnika) do opłucnej trzewnej i/lub ściennej.
- Nawracający wysięk opłucnowy o charakterze złośliwym w wyniku przerzutów w obrębie opłucnej jest jednym z najczęstszych objawów chorób nowotworowych.
- W przypadku krwawego wysięku opłucnowego zakłada się, że wysięk ma charakter złośliwy, dopóki nie wykryje się innej przyczyny (za pomocą cytologii, RTG, TK, biopsji opłucnej, bronchoskopii, torakoskopii).
Zatorowość płucna
- Zobacz artykuł Zatorowość płucna.
- Zwiększone ryzyko przed porodem, w okresie okołoporodowym i po porodzie, po operacji, w przypadku długotrwałego leżenia w łóżku, podczas przyjmowania doustnych środków antykoncepcyjnych, w przypadku zakrzepicy w kończynach dolnych, zakażenia, choroby nowotworowej, niewydolności serca, udaru i trombofilii
- Nasilenie objawów zależy od wielkości zatoru: od umiarkowanej duszności, kaszlu i przejściowego bólu opłucnej w klatce piersiowej do nagłego wystąpienia silnego bólu w klatce piersiowej, ciężkiej duszności, krwioplucia, sinicy, ostrego osłabienia prawej komory i gwałtownie postępującego wstrząsu.
- Zatorowość płucna jest bardzo mało prawdopodobna przy prawidłowym stężeniu D-dimerów .
- Scyntygrafia płuc może wykazać zmiany w wentylacji lub perfuzji, a gazometria może wskazywać na ostrą zasadowicę oddechową lub hipoksemię. Angiografia lub spiralna tomografia komputerowa ze środkiem kontrastowym mogą zapewnić ostateczną weryfikację rozpoznania.
Inne przyczyny
- Pourazowe
- Jatrogenne
- Ropień podprzeponowy, zapalenie trzustki i inne choroby jamy brzusznej
- Zaburzenia reumatyczne
- reumatoidalne zapalenie stawów
- toczeń rumieniowaty układowy (TRU)
- Zespół po zawale mięśnia sercowego (objaw Dresslera) i zespół poperikardiotomijny
- Niskie koloidalne ciśnienie osmotyczne
- zespół nerczycowy, mocznica
- dystrofia
- marskość wątroby (płyn w jamie opłucnowej o podłożu wątrobowym — przesięk)
- enteropatia wysiękowa
- Zespół Meigsa (włókniak jajnika z wodobrzuszem i/lub wysiękiem opłucnowym)
Wywiad lekarski
Na to należy zwrócić szczególną uwagę
Duszność
- Objaw wiodący
- Częstość oddechów, zależność od pozycji, duszność zmuszająca do przyjęcia pozycji siedzącej lub stojącej, duszność w spoczynku, duszność przy mówieniu
Ból w klatce piersiowej
- Ból jest zwykle opisywany jako ostry i kłujący, nasila się przy głębokim wdechu i często promieniuje do ramienia oraz może zmniejszać się wraz ze wzrostem ilości płynu w opłucnej.
Krwioplucie
- W przypadku nowotworów złośliwych, zatoru płucnego, gruźlicy
Objawy niewydolności serca
- Oprócz obrzęku płuc również obrzęki kończyn dolnych, napady nocnego ciężkiego oddechu, nykturia
Gorączka
- Wskazuje zarówno na zakażenie, jak i nowotwór złośliwy.
Podejrzenie nowotworu złośliwego
- Gorączka, nocne poty, utrata masy ciała
Wodobrzusze
- Zaburzenia czynności wątroby
Podejrzenie choroby zakrzepowo-zatorowej
- Zwiększone ryzyko przed porodem, w okresie okołoporodowym i po porodzie, po operacji, w przypadku długotrwałego leżenia w łóżku, podczas przyjmowania doustnych środków antykoncepcyjnych, zakrzepicy w kończynach dolnych, zakażenia, choroby nowotworowej, niewydolności serca, udaru i trombofilii
Gruźlica
- Nocne poty, gorączka, krwioplucie, utrata masy ciała, kaszel
Uraz
- Niedawna operacja klatki piersiowej lub jamy brzusznej
- Uraz, wypadek, itp.
Substancje szkodliwe i używki
- W szczególności nikotyna
Wywiad lekarski dotyczący przyjmowanych leków
- Przykładowo amiodaron, beta-blokery, alkaloidy sporyszu, L-tryptofan, metotreksat, nitrofurantoina, fenytoina
Wywiad rodzinny
- W odniesieniu do nowotworów złośliwych i innych częstych chorób
Badanie przedmiotowe
Informacje ogólne
Gorączka
- Zapalenie płuc, gruźlica, nowotwór złośliwy, ropniak
Osłuchiwanie
- Ściszony lub niemal niesłyszalny szmer oddechowy
- Drżenie głosowe niemal niewyczuwalne przy dużych ilościach płynu
Opukiwanie
- Odgłos opukowy stłumiony, jeżeli objętość wysięku wynosi min. 300 ml.
Szczególne objawy
Objawy niewydolności serca
- Obrzęki obwodowe, obrzęk płuc, poszerzenie żył szyjnych
Objawy zatorowości płucnej
- Tachypnoe (przyśpieszony oddech), tachykardia, niedociśnienie aż do wstrząsu, jednostronny obrzęk kończyny dolnej
Wodobrzusze
- Przyczyny wątrobowe
Hepatosplenomegalia
- Choroby nowotworowe
Limfadenopatia
- Choroby nowotworowe
Badania uzupełniające
W gabinecie lekarza rodzinnego
Badania laboratoryjne
- Morfologia krwi, CRP, parametry czynności nerek (mocznik, kreatynina), parametry czynności wątroby (GGTP, ALP, ALT, AST, bilirubina, albuminy), krzepliwość (INR, PTT), w razie potrzeby D-dimery (niedostępne w POZ)
Badanie ultrasonograficzne
- Czuła metoda wykrywania płynu w opłucnej od około 20 ml
- Ew. rozpoznanie zgrubienia/guza opłucnej
- Stanowi uzupełnienie badania fizykalnego, jest czułe i łatwe w użyciu.2-3
- Przezklatkowe badanie ultrasonograficzne jest prostą procedurą, którą można stosować w dowolnym miejscu.
- Badanie to dużo lepiej sprawdza się w wykrywaniu wysięku opłucnowego niż badanie rentgenowskie.
U specjalisty
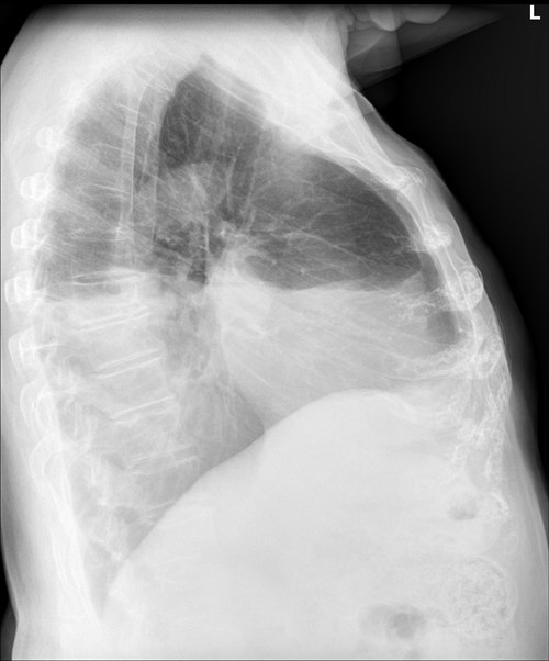
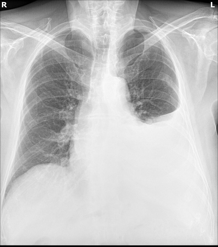
RTG klatki piersiowej
- Płyn w opłucnej można wykryć w projekcji tylno-przedniej, jeżeli obecne jest co najmniej 200 ml płynu, a na zdjęciach w projekcji bocznej już przy 50 ml płynu.2
- W przypadku nagromadzenia dużej ilości płynu może dojść do przemieszczeń w śródpiersiu.
- W ponad 80% przypadków niewydolności serca występuje obustronny przesięk opłucnowy.
TK
- Można wykryć mniejsze ilości płynu opłucnowego niż na zdjęciach rentgenowskich, rozróżnić wysięk opłucnowy od zgrubienia opłucnej i uzyskać informacje o możliwych przyczynach.1
- Angio-TK jest szczególnie istotna w badaniu ewentualnej zatorowości płucnej.
Nakłucie opłucnej
- W celach diagnostycznych i/lub terapeutycznych
- Zwykle pod kontrolą USG
- Badanie kliniczno-biochemiczne (pH, białko, LDH), cytologiczne, mikrobiologiczne (barwienie metodą Grama, posiew bakteryjny i test antybiotykooporności; barwienie i specjalne posiewy w zależności od sytuacji klinicznej i historii choroby oraz, w razie potrzeby, molekularne metody genetyczne do wykrywania prątków)
- Możliwe badania biochemiczne, bakteriologiczne i cytologiczne pobranego materiału
- Różnicowanie przesięku/wysięku zgodnie z wyżej wymienionymi kryteriami
- W przypadku krwistego wysięku opłucnowego zakłada się, że wysięk ma charakter złośliwy, dopóki nie wykryje się innej przyczyny (za pomocą cytologii, RTG, TK, biopsji opłucnej, bronchoskopii, torakoskopii).
- Swoistość diagnostyczna badania cytologicznego w wykrywaniu komórek nowotworowych w wysiękach opłucnowych jest bardzo różna (50–90%) i zależy nie tylko od rozległości choroby nowotworowej i rodzaju materiału do badania, ale także od doświadczenia badającego.
- Po udanym nakłuciu opłucnej i ewakuacji płynu, należy zawsze wykonać kontrolne badanie obrazowe (RTG, ewentualnie tomografię komputerową klatki piersiowej) w celu wykluczenia jatrogennej odmy opłucnowej i/lub krwiaka opłucnej lub braku rozprężenia płuca.
- Po zbyt szybkim usunięciu dużej ilości płynu opłucnowego (objętość materiału z nakłucia >1,5 l), istnieje ryzyko jednostronnego rozprężeniowego obrzęku płucnego, który może wiązać się ze śmiertelnością do 20%.
Bronchoskopia
- Szczególnie istotna w podejrzeniu nowotworu wewnątrzoskrzelowego
Torakoskopia
- Wskazaniami do torakoskopii są wysięki opłucnowe o niejasnej etiologii lub podejrzenie przerzutów w obrębie opłucnej z ujemnym wynikiem badania cytologicznego.
- Czułość diagnostyczną można zwiększyć dzięki badaniu tkanki uzyskanej podczas torakoskopii, ponieważ oprócz histologii można wykonać dodatkowe badania w celu ukierunkowania leczenia (np. oznaczenia statusu hormonalnego w raku piersi).
Biopsja opłucnej
- Biopsja opłucnej może być konieczna, jeśli wyniki badań obrazowych i analizy płynu opłucnowego są niejednoznaczne.4
- Biopsja igłowa opłucnej pod kontrolą TK o wysokiej czułości4
Mediastinoskopia
- W przypadku powiększonych węzłów chłonnych możliwość morfologicznego potwierdzenia raka płuca z czułością 80–90%
FDG-PET
- Ocena złośliwości ognisk płucnych i diagnostyka rozsiewu nowotworu
Środki i zalecenia
Wskazania do skierowania do specjalisty
- W podejrzeniu choroby
- W przypadku potwierdzonej choroby i nasilających się objawów wymagających leczenia
Lista kontrolna przy skierowaniu do specjalisty
Choroby opłucnej
- Cel skierowania
- dalsza diagnostyka i leczenie
- Wywiad lekarski
- ważne objawy
- inne choroby
- aktualnie przyjmowane leki
- dotychczasowe próby leczenia
- Badanie fizykalne
- ogólny stan fizyczny, dolegliwości
- stan ogólny ze szczególnym uwzględnieniem serca i płuc
- Badania uzupełniające
- parametry laboratoryjne
- ewentualnie RTG klatki piersiowej, EKG, USG, echo serca
Zalecenia
- Leczenie zależy od przyczyny choroby.
- Pacjenci niestabilni i w stanie krytycznym wymagają natychmiastowej interwencji.
- Uniesienie górnej części ciała, podanie tlenu, leków moczopędnych i antybiotyków lub też nakłucie opłucnej w zależności od etiologii i objawów
Metody leczenia wysięku opłucnowego o charakterze złośliwym
Cewniki opłucnowe założone na stałe
- Zakładane na stałe tunelizowane cewniki opłucnowe stały się w ostatnich latach standardem w paliatywnym leczeniu przewlekłych wysięków opłucnowych.
- Założenie stałego drenażu jamy opłucnej zaleca się szczególnie w przypadku braku rozprężenia płuca, nawracającego wysięku opłucnowego i pogorszenia stanu ogólnego pacjenta.
- Wykazano znaczną poprawę jakości życia i zmniejszenie duszności.
- Za pomocą specjalnego systemu cewników, pacjentów można leczyć mniej inwazyjnie i w warunkach ambulatoryjnych.
Pleurodeza
- Pleurodeza ma sens, jeśli płuco jest w pełni rozprężone.
- Jako środków sklerotyzujących do chemicznej pleurodezy używa się zarówno substancji przeciwnowotworowych (np. bleomycyny), jak i substancji bez działania przeciwnowotworowego (np. talku).
- Bleomycyna i tetracyklina są mniej skuteczne niż talk.
- Najskuteczniejszą metodą jest pleurodeza talkiem pod kontrolą torakoskopii.
Pleurektomia
- Pleurektomia jest wskazana u wybranych objawowych pacjentów z lepszym rokowaniem (np. z rakiem piersi), u których bez powodzenia wykonano kilka zabiegów pleurodezy chemicznej.
- Niemniej jednak pleurektomia nie stanowi jeszcze potwierdzonej alternatywy dla pleurodezy talkiem lub zakładanego na stałe cewnika opłucnowego.
Leczenie wysięku opłucnowego w pozaszpitalnym zapaleniu płuc
- Skuteczny drenaż należy wykonać natychmiast w przypadku przejrzystego wysięku o pH <7,2, objawów przemawiających za organizacją, drenażu ropy, wykrycia bakterii w opłucnej lub obecności ropniaka opłucnej.
- W przypadku wysięku przegrodowego i nieskutecznego drenażu lub ropniaka, należy przeprowadzić interdyscyplinarne konsultacje ze specjalistą chirurgii klatki piersiowej na temat VATS (torakoskopia z asystą wideo) u pacjentów, którzy pod względem czynnościowym kwalifikują się do operacji. Jeśli VATS nie jest wskazana lub pożądana, należy podjąć próbę leczenia za pomocą podania doopłucnowego t-PA lub DNAzy.
Informacje dla pacjentów
Materiały edukacyjne dla pacjentów
Źródła
Piśmiennictwo
- Marczak J, Majewski S, Białas A. Płyn w jamie opłucnej (hydrothorax). W: Wielka Interna. Pulmonologia, s. 424-440. Red. Antczak A. Wyd II, Medical Tribune Polska. Warszawa, 2020.
- Saguil A, Wyrick K, Hallgren J. Diagnostic Approach to Pleural Effusion. American Family Physician 2014. www.aafp.org
- Hooper C, et al. Investigation of a unilateral pleural effusion in adults: British Thoracic Society pleural disease guideline 2010. thorax.bmj.com
- Lichtenstein D, Goldstein I, Mourgeon E et al. Comparative Diagnostic Performances of Auscultation, Chest Radiography, and Lung Ultrasonography in Acute Respiratory Distress Syndrome. The Journal of the American Society of Anesthesiologists 2004. anesthesiology.pubs.asahq.org
- Jany B, Welte T. Pleural effusion in adults—etiology, diagnosis, and treatment. Dtsch Arztebl Int 2019; 116: 377-386. doi:10.3238/arztebl.2019.0377 DOI
Autorzy
- Anna Grzeszczuk, Prof. dr hab. n. med., specjalista chorób zakaźnych, Klinika Chorób Zakaźnych i Neuroinfekcji, Uniwersytet Medyczny w Białymstoku (recenzent)
- Sławomir Chlabicz, Prof. dr hab. n. med., specjalista medycyny rodzinnej, Uniwersytet Medyczny w Białymstoku (redaktor)
- Miriam Spitaler, Dr med. univ., Ärztin für Allgemeinmedizin, Innsbruck/Österreich
